• Calculator
  • How to use
  • References
  • Terms and conditions
  • How to use

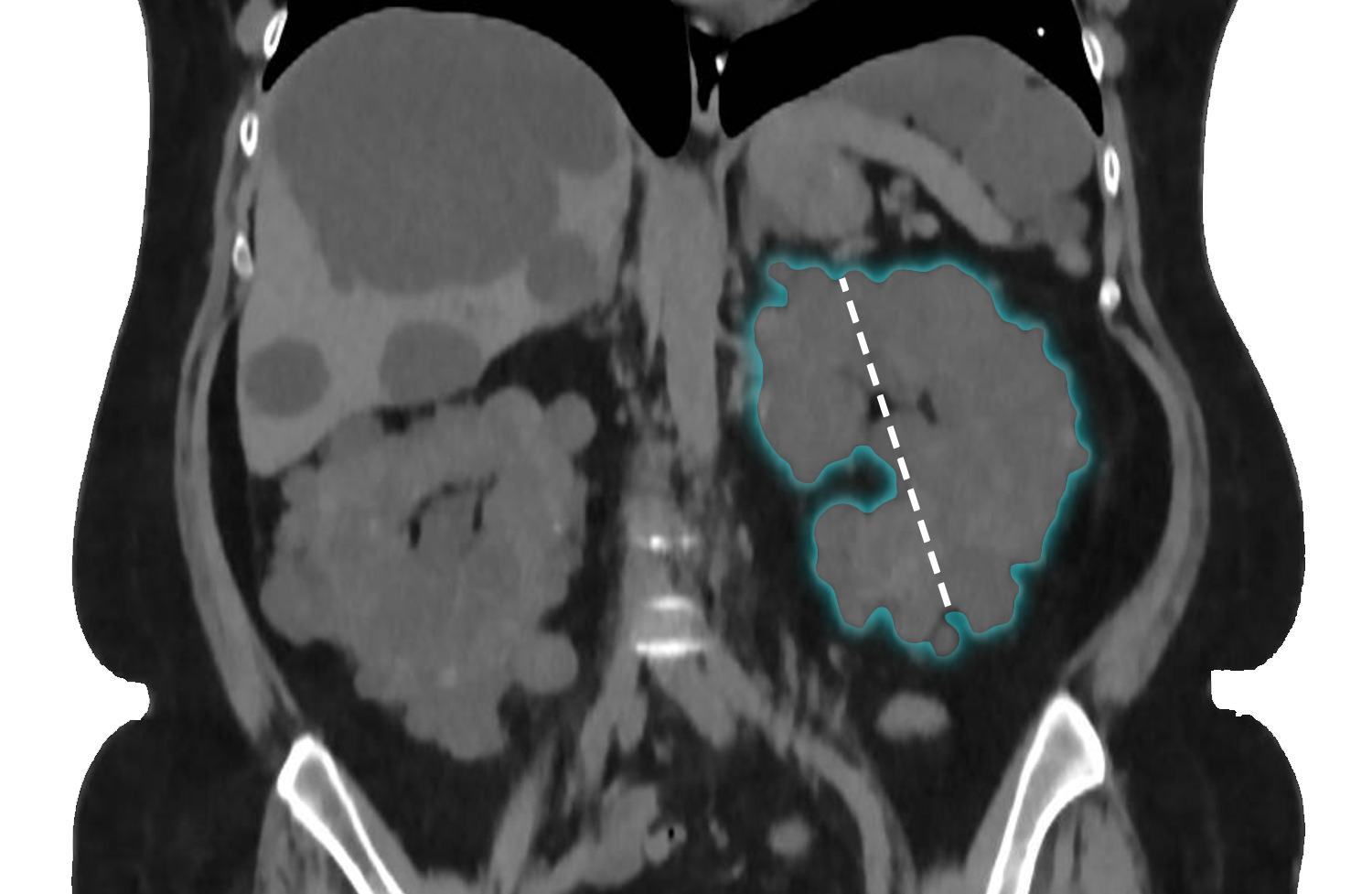
    For the prediction to be reliable, the patient must meet the following conditions: Kidney size must be measured on CT or MRI. It is recommended that the age and serum creatinine values used for the estimation are obtained within ±6 months of the imaging study. Follow the instructions below to correctly perform measurements:
    Kidney height
    Measure the height along the coronal axis using a line parallel to the kidney's longitudinal axis at the point of greatest measurement. Ensure the line traces the edge of the renal parenchyma, excluding the outline of any protruding cysts
    Kidney depth
    Measure the depth along the axial axis using a line perpendicular to the renal hilum at the point of greatest measurement. Ensure the line traces the edge of the renal parenchyma, excluding the outline of any protruding cysts
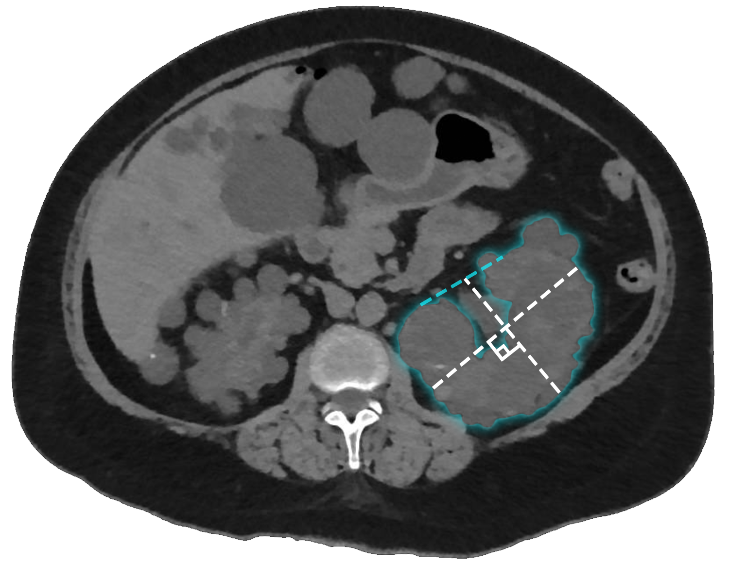
    Kidney width
    Measure the width along the axial axis using a line at 90° to the depth measurement line, positioned at the level of the renal hilum. Extend the measurement to an imaginary line that continues the renal border at the level of the hilum (dashed blue line). Ensure the line traces the edge of the renal parenchyma, excluding the outline of any protruding cysts